Children’s Dentist
Dr. Anushree A. Khatri
MDS (Pedodontics)
Laser Expert | Tongue Tie Specialist
Laser Expert | Tongue Tie Specialist
Infants | Toddlers | Teens
Sneh Dental Care
Shop 5, Plot No.7, Below Hotel Sunny International, Near Jasleen Hospital, Dhantoli, Nagpur - 440012.
Infants | Toddlers | Teens
Sneh Dental Care
MDS (Pedodontics)
Laser Expert | Tongue Tie Specialist
Laser Expert | Tongue Tie Specialist

0-1 Years

1-3 Years

3-6 Years

6-14 Years
Why Choose Us?
A positive ‘first dental experience’ shapes how your child sees dental care for life. At Sneh Dental Care by Dr Anushree Khatri, we make sure every visit is calm, gentle, and reassuring.
Dr. Anushree Khatri
- Specialist for 0 to 16 year olds: Gentle, age-appropriate care for children & young adults, including those with special needs.
- Airway-Focused Dentist: With nearly 10 years of experience, Dr Anushree is trained to identify and manage airway issues that affect breathing, sleep, and facial growth.
- Expert in Tongue Tie Management: Helps mothers & infants resolve breastfeeding challenges and enables healthy facial growth & clear speech in children.
- Laser Expert: With continued upgradation, Dr Anushree performs biomodulation, soft tissue surgeries and managing TMD problems with precision.
- Treatment of muscle dysfunction and improper oral habits using oral myofunctional and biofunctional interceptive therapy.
Sneh Dental Care



- Child-Friendly Environment: Bright & cheerful space, audiovisual aids, toys, and books to keep your kids relaxed and happy during visits.
- Safe & Advanced Care: Conscious sedation (happy gas), Laser, digital x-ray, endomotor, apex locator, etc, for the best results.
- Special Needs Friendly: A wheel-chair accessible space designed to welcome children with diverse needs.
- Your Child’s Dental Home: Simplifying your child’s oral health needs from infancy through adolescence, under one roof.
What can you do at home ?
Gently lift your child’s upper lip once in a while to check for:
- Stains
- White spots
- Discolouration
- Cavities
- Cavities often start in hidden areas.
- Shine a light and check the upper & back teeth for dark spots or rough patches.
- Spotting these early can prevent major treatment later.
Watch how your child’s tongue rests. If it pushes forward or sits too low, it may affect teeth alignment, speech, breathing & facial growth.
- Correct
- Incorrect
Kids’ Oral Care At Home
Brushing
Out-In-Top-Sweep
How Much Toothpaste Is Needed?
Brushing
Out-In-Top-Sweep
How Much Toothpaste Is Needed?
Blogs
Top Reviews
patient
Our experience with Dr. Anushree has been very satisfying. Her patience with kids is commendable and her knowledge and skill are more than evident in the way she salvages dental conditions. Highly recommend a visit to her not only for dental issues but also regular checkups.
patient
Dr ANUSHREE KHATRI is a real professional. He is friendly dr for Pedeatric for patient and caring, they handle 🧒👦👧👧small children🦷🦷 with care, 🙏🙏. His assistant is also very cordial and friendly. We still overwhelmed by the painless extraction of my DAUGHTER AND SON BOTH ROOT CANAL 🦷🦷🦷TREATMENT tooth in the minimum possible time . I would certainly like to go for more follow ups
I wish Dr ANUSHREE mam and all the very best.
patient
Dr Anushree is Best practitioner in nagpur having beautiful skills to handle kids, specially notorious one. My experience for my 3 year old kid was awesome..
patient
Had an amazing and seamless experience with Dr Anu. She detailed out the entire process to me before my treatment and ensured that i was comfortable throughout. A must visit for any dental issue.
patient
Our experience with Dr. Anushree has been very satisfying. Her patience with kids is commendable and her knowledge and skill are really appreciable. She makes her patients comfortable. Best experience ever.
Top Reviews
patient
Our experience with Dr. Anushree has been very satisfying. Her patience with kids is commendable and her knowledge and skill are more than evident in the way she salvages dental conditions. Highly recommend a visit to her not only for dental issues but also regular checkups.
patient
Dr ANUSHREE KHATRI is a real professional. He is friendly dr for Pedeatric for patient and caring, they handle 🧒👦👧👧small children🦷🦷 with care, 🙏🙏. His assistant is also very cordial and friendly. We still overwhelmed by the painless extraction of my DAUGHTER AND SON BOTH ROOT CANAL 🦷🦷🦷TREATMENT tooth in the minimum possible time . I would certainly like to go for more follow ups
I wish Dr ANUSHREE mam and all the very best.
patient
Dr Anushree is Best practitioner in nagpur having beautiful skills to handle kids, specially notorious one. My experience for my 3 year old kid was awesome..
patient
Had an amazing and seamless experience with Dr Anu. She detailed out the entire process to me before my treatment and ensured that i was comfortable throughout. A must visit for any dental issue.
patient
Our experience with Dr. Anushree has been very satisfying. Her patience with kids is commendable and her knowledge and skill are really appreciable. She makes her patients comfortable. Best experience ever.
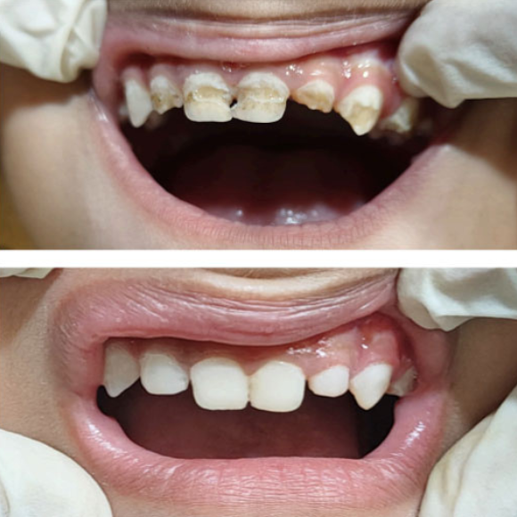
Gallery










